Ante la ausencia del hueso necesario para colocar implantes dentales utilizamos técnicas avanzadas de regeneración ósea para aportar soluciones a tus necesidades. Consigue tus dientes en una sola sesión gracias a la Cirugía Guiada y la tecnología de impresión 3D y el escáner intraoral.

Los injertos de tejidos blandos son esenciales para tratar la retracción de las encías. Las principales causas de esta condición incluyen las enfermedades periodontales, traumatismos, el envejecimiento, el cepillado agresivo y la mala alineación dental. En casos graves, la recesión puede llegar a exponer la raíz del diente.
En casos complejos, tras resecciones oncológicas o por atrofias severas del maxilar, utilizamos los implantes cigomáticos para devolver al paciente su sonrisa. Estos tienen una longitud mayor que nos permiten posicionarlos en los huesos malares de la cara.
La fenestración dental elimina hueso y mucosa para exponer un diente y permitir su movimiento con brackets.
Los frenillos son bandas de mucosa que, al variar en forma y tamaño, pueden causar problemas dentales y ortodóncicos.
Los quistes dentales, causados por infecciones, deben ser extirpados para evitar daños óseos.
Las muelas del juicio, que emergen entre los 18 y 25 años, a menudo se extraen por dolor, infecciones, o razones ortodóncicas.
En muchas ocasiones, debido al estrés, apretamos los dientes sin darnos cuenta durante el día o la noche. Los principales signos y síntomas del bruxismo son el desgaste de nuestros dientes, los dolores mandibulares o de cabeza, la sensación de tensión muscular y los chasquidos de la articulación temporomandibular. Protege tus dientes y articulación con nosotros.
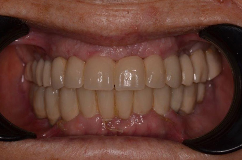
Mejoramos la funcionalidad, estética y armonía facial realizando movimientos de los huesos maxilares. Mediante un estudio protocolizado digital en 3 dimensiones, aportamos la mejor tecnología para que la cirugía ortognática sea un procedimiento predecible y seguro.

¿Tiene dolores de cabeza?
¿Chasquidos cuando abre o cierra la boca?
¿Le duele la mandíbula al masticar?
Puede que padezca un desorden temporo-mandibular, artrosis o artritis.
No dude en consultarnos, nuestro equipo cuenta con la mejor formación para poder aliviar su dolor.
Este síndrome es una patología respiratoria causada por la apnea y/o obstrucción durante el sueño de la vía aérea.
El SAOS afecta a entre un 6% y un 8% de la población, y representa un grave impacto en la salud.
Si sientes una gran tendencia al sueño durante el día, mucho cansancio y tu sueño no es reparador, consúltanos.
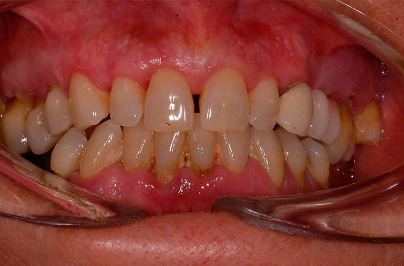
Las retracciones en las encías se producen por diversos motivos como el cepillado agresivo, los frenillos linguales o labiales o la enfermedad periodontal. Además de comprometer la estética dental haciendo que nuestros dientes parezcan más largos, las recesiones gingivales se asocian a la sensibilidad al frío y a una mayor probabilidad de perder nuestros dientes. La enfermedad de las encías, si no se trata, termina afectando al hueso, el soporte de las piezas dentales.
La sedación consciente es una técnica muy demandada en odontología y cirugía maxilofacial cuyo objetivo es mantener un estado de bienestar y tranquilidad, permitiendo realizar tratamientos de forma más cómoda y efectiva.
En la Clínica Dental José de Pedro contamos con el apoyo de médicos anestesistas para llevar a cabo los procedimientos bajo sedación consciente.